VPS50 Mutation – Krankheit ohne Namen
Noch hat die Krankheit keinen Namen, noch weiß man erst, dass ein steirisches und ein indisches Kind von demselben Muster an Symptomen betroffen sind und dieselbe Mutation im VPS50-Gen tragen. Das haben die HumangenetikerInnen Andreas Janecke von der Innsbrucker Univ.-Klinik für Pädiatrie I und Kerstin Kutsche vom Hamburger Uniklinikum Eppendorf in einer gemeinsamen, im Journal Brain veröffentlichten Forschungsarbeit nachgewiesen.
Es war im Jänner 2018, als ein sieben Wochen alter Säugling aus der Steiermark mit akutem Leberversagen an die Innsbrucker Kinderklinik kam – Ursache ungeklärt, eine Lebertransplantation schien unausweichlich. „Es gibt hundert verschiedene Gründe für Leberversagen bei Kleinkindern, 80 davon sind genetischer Natur, 20 sind anders bedingt. Wir haben alle in Frage kommenden Ursachen, darunter seltene, angeborene Stoffwechselerkrankungen abgeklärt und auch Morbus Wilson* in Betracht gezogen, mussten jedoch alle dieser Ursachen ausschließen“, erzählt Andreas Janecke, der die pädiatrisch-humangenetische Arbeitsgruppe an der Univ.-Klinik für Pädiatrie I (Direktor: Thomas Müller) leitet, die auf die Charakterisierung erblicher und chronischer Krankheiten bei Kindern bzw. die Identifizierung von Mutationen spezialisiert ist.
Das akute Leberversagen des steirischen Buben konnte an der Innsbrucker Pädiatrie behandelt werden, sodass er die Klinik nach drei Monaten wieder verlassen konnte. Doch nachfolgende Kontrolluntersuchungen zeigten keine gute Entwicklung: Die Wachstumskurve des Buben fiel ab, er erbrach ständig, war – vermutlich neuronal bedingt – nicht in der Lage, mit den Augen zu fixieren, hatte einen deutlich verkleinerten Kopfumfang durch vermindertes Gehirnwachstum (Mikrozephalie) und litt unter Krampfanfällen und Gelbsucht. Der kleine Patient verstarb schließlich im Alter von drei Jahren an einer bislang unbekannten Krankheit.
Dem Krankheitsgen auf der Spur
Andreas Janecke ist der Charakterisierung dieser Erkrankung auf der Spur und hat dafür das Erbgut des Buben mittels Hochdurchsatzsequenzierung (Next-generation sequencing) untersucht. „Ich habe 1,5 Prozent des Genoms – jene Abschnitte, sprich 20.000 Gene, die für Proteine codieren – auf die Base genau angeschaut, in riesigen Tabellen dargestellt und gefiltert. Mithilfe künstlicher Intelligenz war es schließlich möglich, im VPS50-Gen einen Defekt zu identifizieren“, berichtet der Humangenetiker, der seine Daten in der Folge auf der Website GeneMatcher teilte. GeneMatcher ist ein kostenloser Onlinedienst und eine Datenbank, die darauf abzielt, ForscherInnen zu vernetzen, die PatientInnen mit seltenen, auf bestimmten Kandidatengenen basierenden Krankheitsbildern untersuchen. Die Antwort aus Hamburg kam umgehend. „Schon nach wenigen Minuten wusste ich, dass Kerstin Kutsche – zufälligerweise eine ehemalige Kollegin – am Uniklinikum Eppendorf zur selben Frage forscht. Kerstin Kutsche ist international anerkannte Humangenetikern und hat bereits mit anderen Forschungsgruppen an der Medizinischen Universität Innsbruck erfolgreich zusammengearbeitet“, so Janecke.
Am Hamburger Uniklinikum gab es einen Patienten aus Indien, der dieselben Symptome und auch dieselben Auffälligkeiten auf Proteinebene aufwies wie das steirische Kind. Beim indischen Patienten hatte Kerstin Kutsche, die von einer indischen Ärztin kontaktiert worden war, zunächst ebenfalls eine seltene und schwerwiegende DNA-Veränderung im VPS50-Gen nachgewiesen. Anhand von Hautzellen (Fibroblasten) des indischen Buben und des steirischen Buben konnte sie Funktionsstörungen der Zellen mit Veränderungen im VPS50-Gen identifizieren. VPS50 codiert für ein bestimmtes Eiweißmolekül, welches als Untereinheit mit drei anderen Molekülen in einem Komplex namens EARP (Endosomen-assoziiertes Recyclingprotein) interagiert. Ein Komplex, der gleichermaßen als intrazelluläre Sortier- und Recycling-Zentrale fungiert. Kutsche gelang es, in der Zelle zu zeigen, dass der Transport des Prototypen Proteins Transferrin durch den Defekt in VPS50 verlangsamt wird. Das in der Leber gebildete Protein Transferrin ist für den Transport von Eisen im Blutplasma verantwortlich.
Sowohl in der steirischen als auch in der indischen Familie konnte die Funktionsstörung im EARP Komplex nachgewiesen werden. Zu dieser genetisch-bedingten Funktionsstörung kommt es, weil jeweils von der Mutter wie auch vom Vater ein verändertes VPS50-Gen weitergegeben wurde, so dass die Körperzellen keine „normal lesbare“ Kopie dieser wichtigen „Vorschrift“ für ihre Funktion hatten. „Der EARP-Komplex ist in vielen Geweben essenziell, das erklärt auch das systemische Krankheitsbild der hier betroffenen Kinder“, so Janecke, der gemeinsam mit Kerstin Kutsche an der weiteren Charakterisierung der seltenen Krankheit forschen wird. Dann wird sie irgendwann auch einen Namen haben.

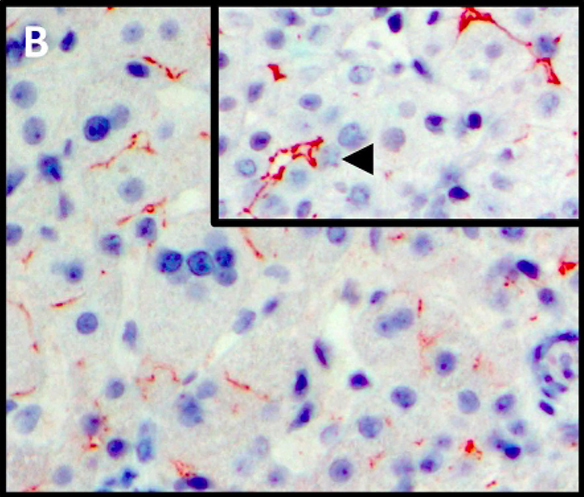
BU: Die Abbildung zeigt einen Teil der sehr inhomogenen und gestörten Leberarchitektur mit unvollständigen Gallengängen; zum Vergleich im kleinen Viereck (Insert): So sollte das Farbmuster eines intakten Lebergewebes aussehen.
Erfolgreich im Team
Die Forschungsgruppe von Andreas Janecke und Klinikdirektor Thomas Müller an der Innsbrucker Univ.-Klinik für Pädiatrie I ist auf die Identifizierung von genetischen Ursachen seltener Krankheiten spezialisiert. So konnten in Zusammenarbeit mit nationalen und internationalen Partnerinstituten federführend bereits 20 Gene für 20 monogene Krankheiten identifiziert werden. Die hohe Erfolgsquote ist aber nicht zuletzt auf die enge Kooperation am Medizin Campus Innsbruck zurückzuführen. Andreas Janecke arbeitet u.a. eng mit WissenschafterInnen des Instituts für Zellbiologie (Direktor: Lukas Huber) sowie des Instituts für Humangenetik (Direktor: Johannes Zschocke) zusammen.
Zentrum für Seltene Krankheiten Innsbruck
Das vorgestellte Forschungsprojekt betrifft eine seltene und monogene Krankheit. Das an der Klinik Innsbruck etablierte und anerkannte Zentrum für Seltene Krankheiten Innsbruck (ZSKI) verfügt über Untersuchungsverfahren, mit denen sich auch ganz seltene oder noch nie vorher beschriebene erbliche Krankheiten diagnostizieren lassen. Erkenntnisse über die Ursachen der zu 80 Prozent genetisch bedingten Erkrankungen sind ein wichtiger Schritt für die Verbesserung von Therapiemöglichkeiten und Prognosen. Per Definition ist eine Krankheit selten, wenn höchstens eine von 2.000 Personen daran erkrankt.
* Morbus Wilson ist eine seltene, vererbte Störung des Kupferstoffwechsels mit schädlicher Kupferablagerung in vielen Organen, insbesondere der Leber, im Nervensystem und dem Gehirn.
(15.07.2021, Text: D. Heidegger, Bild Leber: A. Janecke, Gruppenfoto: v.l.: Andreas Janecke mit seinen Mitarbeiterinnen an der Pädiatrie I, Karin Kreidl und Dorota Elzbieta Garczarczyk-Asim. © D.Bullock)
Links:
Biallelic variants in VPS50 cause a neurodevelopmental disorder with neonatal cholestasis.
https://doi.org/10.1093/brain/awab206
Univ.-Klinik für Pädiatrie I
https://kinderzentrum.tirol-kliniken.at/page.cfm?vpath=paediatrie-i
Klinisch-Molekulargenetisches Forschungslabor, Pädiatrie I
https://kinderzentrum.tirol-kliniken.at/page.cfm?vpath=paediatrie-i/forschung/klinisch-molekulargenetische-forschung
Humangenetische Arbeitsgruppe Kutsche
https://www.uke.de/kliniken-institute/institute/humangenetik/forschung/ag-kutsche.html
