COVID-19 und das Risiko für anhaltende Lungenveränderungen
Männlich, über 60 Jahre alt, kritischer COVID-19 Verlauf mit Beatmung: Das sind die Faktoren, die das Risiko signifikant erhöhen, auch ein Jahr nach Entlassung aus dem Krankenhaus noch sichtbare Veränderungen des Lungengewebes aufzuweisen. Zu diesem Ergebnis kommen Tiroler RadiologInnen anhand von CT-Untersuchungen, die im Rahmen der Langzeitstudie CovILD durchgeführt wurden.
Seit 2020 untersucht ein interdisziplinäres Team aus den Bereichen Pneumologie (Initiatoren), Infektiologie, Neurologie und Radiologie an der Medizinischen Universität Innsbruck in der prospektiven, multizentrischen Studie CovILD mögliche Folgeschäden nach einer schwer verlaufenen SARS-CoV-2 Infektion.
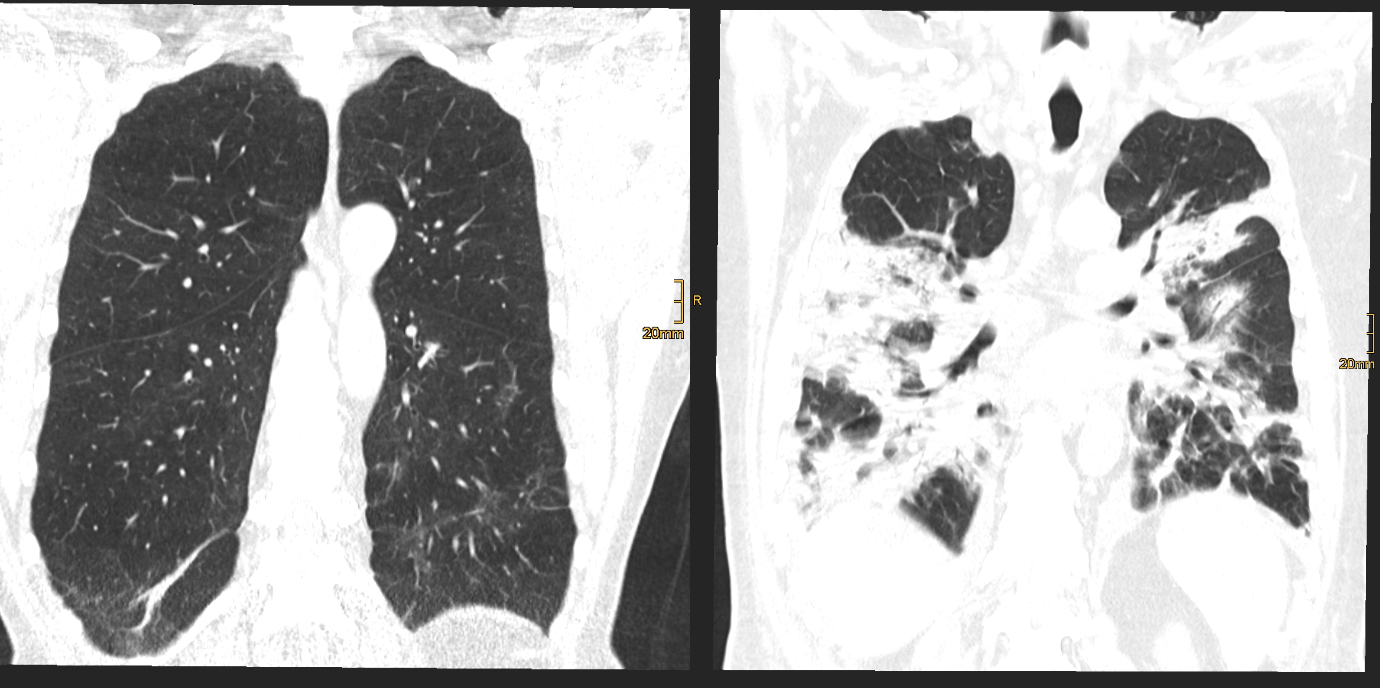
Eine aktuelle, kürzlich im angesehenen Fachjournal Radiology veröffentlichte Ein-Jahres-Folgestudie des Teams um den Radiologen Gerlig Widmann liefert nun neue Erkenntnisse zum Verlauf von Lungenveränderungen in der Computertomographie (CT) nach COVID-19. „In unserer viergeteilten Kohorte* betreffend den Schweregrad des initialen Verlaufes waren bei mehr als der Hälfte der TeilnehmerInnen auch noch zwölf Monate nach Krankenhausentlassung subtile Veränderungen im CT nachweisbar. Auch wenn eine Mehrheit dieses Anteils zumindest schwer erkrankt war, sind wir von diesem Ergebnis doch ein wenig überrascht. Der über 60-jährige männliche Patient mit kritischem Krankheitsverlauf trägt unseren Untersuchungen zufolge jedenfalls das größte Risiko, auch ein Jahr nach Covid-19 noch Lungenveränderungen im CT zu zeigen“, erklärt Radiologin und Erstautorin Anna Luger. Insgesamt wurden vier CT-Verlaufskontrollen der Lunge durchgeführt, von anfangs 142 ProbandInnen konnten nach einem Jahr noch 91 TeilnehmerInnen in die Studie eingeschlossen werden.

BU: Das Innsbrucker Studienteam, v.l.: Ivan Tancevski, Gerlig Widmann, Judith Löffler-Ragg, Anna Luger, Thomas Sonnweber, Christoph Schwabl und Leonhard Gruber. ©L. Gruber/Radiologie Innsbruck
Im Detail zeigten 34 Prozent der TeilnehmerInnen oberflächennahe netzartige Verdichtungen der Lunge, geringe Milchglastrübungen oder beides, bei 20 Prozent der TeilnehmerInnen waren ausgedehnte Milchglastrübungen, oberflächennahe netzartige Verdichtungen, Bronchialerweiterungen und mikrozystische Veränderungen feststellbar, die eventuell auf Vernarbungsprozesse hindeuten. „Aus radiologischer Sicht lässt sich noch nicht abschätzen, wie sich diese strukturellen Lungenveränderungen zeitlich weiter verhalten“, so der Leiter der Radiologie in der interdisziplinären Studiengruppe, Gerlig Widmann. Drei Szenarien seien jedoch vorstellbar: Die Veränderungen bilden sich langsam vollständig zurück, die Veränderungen halten an und es entwickeln sich stabile Vernarbungen, oder das Lungengewebe wird zunehmend fibrotisch (Bindegewebsvermehrung) und es kommt begleitend zu kontinuierlich zunehmenden klinischen Symptomen. „In jedem Fall“, so Widmann, „werden wir den Verlauf gemeinsam mit unseren klinischen Partnern weiter wissenschaftlich begleiten“.
Aus Langzeitstudien zur SARS-Pandemie im Jahr 2003 mit SARS-CoV-1 ist bekannt, dass im CT auch noch 15 Jahre nach Erkrankung Veränderungen des Lungengewebes festzustellen sind. Angesichts der gesundheitspolitischen Relevanz einer Post-COVID Erkrankung zeigen die bisherigen Daten aus Innsbruck mit der ersten systematisch wissenschaftlich untersuchten COVID-19 Kohorte in Österreich, dass eine langfristige klinische und radiologische Nachsorge von PatientInnen mit anhaltenden Lungenveränderungen im CT notwendig ist, um mehr über den klinischen Verlauf und potentielle Folgeerscheinungen herauszufinden.
*) Gruppe 1: milder Verlauf mit ambulanter Behandlung (21%), Gruppe 2: moderater Verlauf mit stationärer Behandlung ohne Sauerstoffgabe (25%), Gruppe 3: schwerer Verlauf mit stationärer Behandlung und Sauerstoffgabe (25%), Gruppe 4: kritischer Verlauf mit intensivmedizinischer Behandlung und Beatmung (29%).
(11.04.2022, Text: D. Heidegger, Bilder: Univ.-Klinik für Radiologie Innsbruck, L. Gruber)
Links:
CT of Lung Injury 1 Year after COVID-19 Pneumonia: The CovILD Study.
