Blasenkrebs: Chemo-Tauglichkeit im 24-Stunden-Urin besser berechenbar
PatientInnen mit muskelinvasivem Blasenkrebs profitieren von einer präoperativen Chemotherapie. Aufgrund einer grenzwertigen Nierenfunktion wird jedoch nur ein Teil der PatientInnen als „Chemo-tauglich“ eingestuft. Mit der Berechnung der Nierenfunktion aus dem 24-Stunden-Urin bestätigen ForscherInnen der Medizin Uni Innsbruck nun eine einfache Methode, mit der die Chemo-Tauglichkeit verlässlich festgestellt und zudem ein größerer Anteil an PatientInnen einer Chemotherapie vor der OP zugeführt werden kann.
Bestimmte Laborwerte geben Auskunft über die Nierenfunktion. Dazu gehört auch die sogenannte Kreatinin-Clearance, die wiederum Rückschluss auf die im Blutserum gemessene glomeruläre Filtrationsrate (GFR) – den wichtigsten Parameter zur Beurteilung der Nierenfunktion – erlaubt. Bei PatientInnen mit muskelinvasivem Blasenkarzinom (MIBC, in die Blasenmuskulatur eingewachsen) spielt die Kreatinin-Clearance als Kriterium für die Chemo (bzw. Cisplatin)-Tauglichkeit vor einer operativen Entfernung der Harnblase eine zentrale Rolle. „In der klinischen Routine gelten PatientInnen mit einer Kreatinin Clearance über 60 ml/min als Cisplatin-tauglich. Die cisplatinhaltige Chemotherapie* mit nachfolgender operativer Komplett-Entfernung der Harnblase ist der derzeitige Goldstandard beim muskelinvasiven Blasentumor. Die neoadjuvante (den Tumor verkleinernde) Chemotherapie vor der radikalen OP bringt einen zusätzlichen Überlebensvorteil von bis zu acht Prozent in fünf Jahren“, weiß Renate Pichler. Der Uro-Onkologin fiel auf, dass an der Innsbrucker Univ.-Klinik für Urologie (Direktor Wolfgang Horninger), wo eine Messung routinemäßig auch über den 24-Stunden-Harn erfolgt, ein im Vergleich zu anderen Zentren relevant höherer Anteil an Chemo-tauglichen PatientInnen erfasst wird. Um den Zusammenhang zwischen GFR-Messungen im Serum und der Kreatinin Clearance aus dem Sammelurin untersuchen zu können, initiierte sie gemeinsam mit KollegInnen aus den Fachbereichen Nephrologie (Andreas Kronbichler), Onkologie (Andreas Seeber) und Medizinische Statistik (Josef Fritz) eine interdisziplinäre und retrospektive Multicenterstudie.

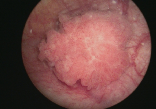
BU: Zytoskopie (Blasenspiegelung) mit endoskopischer Darstellung eines drei Zentimeter großen Blasentumors. (c)R. Pichler
Knapp 1.000 PatientInnen mit muskelinvasivem Blasenkrebs, die zwischen 2011 und 2021 in verschiedenen europäischen Zentren einer radikalen Blasenentfernung mit oder ohne vorheriger Chemotherapie unterzogen worden waren, wurden in die Studie eingeschlossen. Anhand dieser Daten ermittelte das Team um Renate Pichler den Anteil Chemo-tauglicher PatientInnen auf Basis von vier verschiedenen Serumformeln für die Kreatinin Clearance. Dabei wurde, unabhängig davon, welche Serumformel herangezogen wurde, ein Anteil von 25 bis 30 Prozent der PatientInnen als nicht Chemo-tauglich nachgewiesen. Bei einer Sub-Kohorte von 250 ProbandInnen wurde zudem die Messung aus dem 24-Stunden-Urin herangezogen, darunter fielen v.a. PatientInnen, deren Serumwerte im Graubereich zwischen 40 und 59 ml/min lagen. „Wir stellten fest, dass die aus dem 24-Stunden-Urin ermittelte Kreatinin Clearance bei mehr als 80 Prozent dieser Patientinnen und Patienten über 60 ml/min betrug und somit eine Chemo-Tauglichkeit vorlag. Das lässt die Annahme zu, dass ein signifikanter Anteil von Patientinnen und Patienten aufgrund einer alleinigen Serum-Messung nicht richtig eingestuft wird und im schlimmsten Fall untertherapiert ist“, so Pichler.
Vor dem Hintergrund, dass es ohne präoperative Chemotherapie trotz kompletter Blasenentfernung in 50 Prozent der Fälle zu Rezidiven, also erneutem Tumorwachstum kommt, haben diese im Fachjournal The Oncologist publizierten Ergebnisse hohe klinische Relevanz. „Die einfache und verlässliche Berechnung der Chemo-Tauglichkeit auf Basis des 24-Stunden-Harns ist dabei vor allem für PatientInnen relevant, deren Messwert aus dem Serum eine grenzwertige Nierenfunktion wiedergibt“, betont Pichler.
Muskelinvasives Blasenkarzinom
Rauchen gilt als Hauptrisikofaktor für die Entstehung von Harnblasenkrebs und ist für etwa die Hälfte aller Karzinomfälle verantwortlich, vor allem bei Männern. Neben einer berufsbedingten Exposition mit bestimmten Chemikalien in der Öl-, Leder- und Farbindustrie oder aufgrund familiärer Exposition kann das Blasenkarzinom auch als Sekundärtumor als Spätfolge nach Bestrahlungen entstehen. In 75 Prozent aller Erstdiagnosen handelt es sich um nicht-muskelinvasive Tumoren, die organerhaltend therapiert werden können. Allerdings metastasieren 50 Prozent aller lokal begrenzten invasiven Tumoren im Laufe der Zeit trotz radikaler Operation. Im metastasierten Zustand ist die Prognose sehr schlecht mit einem medianen Überleben von drei bis sechs Monaten ohne weitere Therapie. Eine platinhaltige Chemotherapie sowie eine Immuntherapie oder gezielte Therapie sind der derzeitige Therapiegoldstandard in diesem Status.
* Das gängige Zytostatikum Cisplatin zerstört sog. Mikrometastasen, wirkt jedoch nierentoxisch und kann nachteilige Auswirkungen auf Gehör, Nerven und das kardio-vaskuläre System haben. Der Einsatz einer belastenden Chemotherapie muss deshalb immer gut abgewogen werden.(28.10.2024, Text: D. Heidegger, Bilder: Robert Schober, Renate Pichler)
Links:
Cisplatin Eligibility in the Neoadjuvant Setting of Patients with Muscle-Invasive Bladder Cancer Undergoing Radical Cystectomy. Pichler et al., The Oncologist,
